2011.03.30
[発表論文]Donor-derived adult T-cell leukaemia
Akira Nakamizo, Yojiro Akagi, Toshiyuki Amano, Satoshi O Suzuki, Rie Otsuka, Yasunobu Abe, Koji Yoshimoto, Toru Iwaki, Tomio Sasaki
Lancet vol377, p1124, 2011
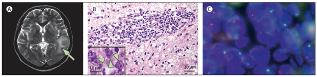
成人T細胞白血病(ATL)に対する治療法として、放射線化学療法の前処置後に行う同種末梢血幹細胞移植がある。HLAが一致する血縁者からの移植が広く行われており、これら無症候性のHTLV-1キャリアーはドナーとして安全であると信じられてきた。その根拠として、HTLV-1キャリアーの5%程度しかATLを発症しないこと、その発症は感染後数十年経ってからであることが挙げられる。また、免疫不全患者での発症は若年に多いことから、ATLの発症に免疫機構が何らかの役割を果たしていると考えられている。実際、無症候性のHTLV-1キャリアーから移植された幹細胞によるATLの発症は極めて稀であり、これまで免疫不全患者における全身性ATLは1例が報告されているに過ぎない。また、ATLが中枢神経系に孤発することは非常に稀であり、これまで2例の報告があるのみである。すなわち、免疫健常状態においては、無症候性のHTLV-1キャリアーから移植された幹細胞によるATL、特に中枢神経孤発性ATLは発症しないと考えられていた。今回我々は、免疫健常状態の患者において、無症候性のHTLV-1キャリアーからの移植幹細胞が原因となって、ATL、しかも中枢神経孤発性のATLが発症しうることを世界で初めて報告した。このことから、無症候性HTLV-1キャリアーから移植を受けたドナーの再評価が必要であると考えられる。第3内科における血液学的検査や画像検査、脳神経外科へのコンサルト、手術標本を用いたXY FISH、当科での迅速な開頭腫瘍摘出術、神経病理学教室における病理組織診断や特殊な免疫染色により、ドナー由来の中枢神経孤発性ATLと診断し、その後の治療を速やかに開始することができた。この患者さんは現在も存命中である。各科がお互いの垣根を越えて連携して、診断、治療にあたることにより、これまで起こらないとされてきた病態を迅速に診断し、的確な治療を行うことができた。今後も、このように九州大学病院全体で一つのチームとして有効に機能することが、患者や医学の発展ために重要であると思われる。

(A) T2-weighted brain MRI showing hyperintense, non-enhancing lesion in the left temporoparietal lobe (arrow) and right frontal lobe; (B) Histopathology showing perivascular accumulation of mononuclear tumour cells with large, indented nuclei (haematoxylin and eosin stain). Inset on the bottom left shows indented nuclei (green arrows); and (C) XY-FISH analysis shows the tumour cells to have an XY genotype. Red chromosome X; green chromosome Y.
Akira Nakamizo- 中溝 玲
九州大学大学院医学研究院脳神経外科学講座 講師
