研究情報

2013.05.07

網膜色素変性に対する遺伝子治療 日本初の臨床研究実施について

網膜色素変性に対する遺伝子治療 日本初の臨床研究実施について

概 要
 九州大学病院において、網膜色素変性(以下、色変と略)に対する遺伝子治療臨床研究(総括責任者:眼科 教授 石橋達朗)が、平成25年3月26日に実施されました。臨床研究薬投与後の経過が順調なため、4月10日、被験者は無事に退院されました。
 ■背 景
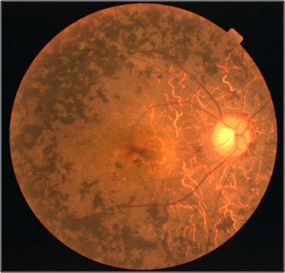
 色変は、網膜に存在する光を感じる細胞(視細胞)が徐々に失われていく遺伝性の病気です。約5千人に1人の頻度で見られ、青年期より発症し、やがて失明に至る可能性があります。すでに約50種類の遺伝子異常が原因として明らかになっていますが、色変は、現在有効な治療法が全くなく、患者さんは失明の不安を抱えて人生を送っています。
 本臨床研究では、この難病に対して遺伝子治療という新しい治療法を適用しました。神経栄養因子の遺伝子を搭載したレンチウイルスベクターを色変患者さんの網膜に注射し、神経栄養因子の視細胞保護作用により、視細胞の喪失を防ぎ、視力の悪化を防ぎます。眼科における遺伝子治療の臨床応用は、国内では例がなく、本臨床研究が初めての試みとなります。また、遺伝子を運ぶためのベクターには、サル由来のレンチウイルス(SIV)が使用されますが、眼科領域の疾患に対するレンチウイルスベクターの使用は世界初となります。

 
■内 容
 臨床研究薬であるSIV-hPEDFの網膜下投与の安全性を確認することが、本臨床研究の主要な目的となります。
臨床研究計画では、まず第1ステージとして5名の被験者に低濃度のベクター溶液を投与しますが、平成25年3月26日に第一症例目となる被験者にSIV-hPEDFが投与されました。投与後の経過は順調で、眼局所ならびに全身に大きな副作用はなく、4月10日、無事に退院されました。
 今回の臨床研究で安全性が確認され、治療薬としての開発につながれば、患者さんの失明防止に向けた大きな一歩になると考えています。




■今後の展開
 第1ステージ5名において急性期の異常が認められないことを確認した後、第2ステージで15名の被験者にさらに高い濃度のベクターを投与する計画となっています。実際の臨床研究の進捗状況については、九州大学病院眼科ホームページ <http://www.eye.med.kyushu-u.ac.jp/> にて随時公表を予定しています。

「神経栄養因子(ヒト色素上皮由来因子:hPEDF)遺伝子搭載第3世代組換えアフリカミドリザル由来サル免疫不全ウイルスベクターの網膜下投与による網膜色素変性に対する視細胞保護遺伝子治療臨床研究」は、平成20年10月3日に学内承認後、平成24年8月23日に厚生労働大臣に了承されていました。


【お問い合わせ】
九州大学病院 眼科 網膜色素変性再来
九州大学大学院医学研究院 眼科学

 教授 石橋達朗 助教 池田康博 
TEL:092-642-5648 FAX:092-642-5663


※九州大学病院 インフォメーション
日本初の網膜色素変性に対する遺伝子治療 被験者の患者さん退院[眼科]
を転載
ページのトップへ